近50年来,细胞的电镜成像领域依赖基于传统的抗体免疫金标记技术识别细胞中的蛋白质分子。传统免疫金标记技术,受到抗体及抗原的稳定性和特异性、化学固定剂、细胞切片渗透性,胶体金颗粒大小等因素影响,通常标记效率很低(低于10%),甚至无法标记,因此,多数情况只能标记上细胞切片表面的极少部分抗原 。此外, 传统免疫标记需要标记每一个切片,对于细胞组织样品大尺度的标记是十分费钱、费时、费力的工作,比如对神经组织样品的系列切片三维分子水平成像需要对数以千计以上切片进行免疫标记。尽管目前超分辨率荧光显微学成像技术已经可以对细胞中的分子进行单分子水平的成像,但因无法对没有标记的多数分子甚至细胞器成像,通常需要借助于非常复杂低效的光镜-电镜关联成像技术来弥补,而且当分子富集度很高时也无法区分单个分子。
进入基因时代后,细胞生物学家迫切希望电镜领域也能够开发出类似光学显微成像领域广泛应用的 GFP标记,通过遗传操作来直接实现细胞及生物组织的电镜超微结构样品上单个分子的精准识别与定位,因此,可将此类基于遗传编码的标记技术称为可克隆电镜标记技术(或通俗称之为电镜的“GFP”标记技术)。
目前科学家们尝试了两类基于遗传编码的可克隆电镜标记技术。
第一类是利用标记蛋白介导释放超氧离子聚合3,3’-diaminobenzenidine后与重金属离子反应形成高电子密度沉淀物示踪,但因为超氧离子扩散速度极快无法实现单个分子定位,只适合相对密闭空间的高浓度标记分子进行展示,例如Alice Ting研究组开发的APEX标记。
第二类是重金属离子直接与标记蛋白结合形成纳米金属颗粒示踪,例如富含半胱氨酸的金属结合蛋白(Metallothionein,简称MT;抗冻蛋白AFP等)以及铁蛋白多聚合体(ferritin),但铁蛋白多聚合体太大不适合做单分子标记。
2006年David DeRosier研究组首次提出利用纯化的MT蛋白结合金离子可形成纳米金颗粒的特性可用来开发可克隆电镜标记。随后其他几个小组尝试利用MT开发可克隆标记技术,然而受技术限制(如高背景噪声导致特异性差,金离子无法有效进入细胞,合成金颗粒效率低,金颗粒太小等),迄今没有开发出适合细胞超微结构成像的可克隆电镜标记技术。
何万中研究组基于David DeRosier提出的MT标记概念,设计改造MT(MTn,MTα),并尝试了其他富含半胱氨酸蛋白(如抗冻蛋白AFP),开展了可克隆电镜标记技术的研发。经过十年的长期探索积累,何万中研究组攻克了基于富含半胱氨酸的金属结合蛋白的可克隆电镜标记技术的一系列技术挑战,终于研发出适合细胞中单分子识别与精确定位的可克隆电镜标记技术。
其关键技术突破简要介绍如下:
基于Brust-Schiffrin方法(BSM)合成硫醇(RSH)包被的纳米金颗粒原理(图1b),何万中研究组从研究硫醇阴离子(RS-)浓度与三价金离子(Au3+)的比率(RS-/Au3+)在BSM合成金颗粒的作用入手,发现:传统的BSM金颗粒合成都是基于RS-/Au3+<2:1 条件下会形成不可溶的1:1“之”字型rsau(i)聚合物,经过强还原剂(nabh4)还原成au(0)自成核方式合成纳米金颗粒;而当rs-/Au3+≥2:1 条件下则会形成可溶的2:1 RSAu(I)化合物彻底抑制自成核方式纳米金颗粒的合成,称为“自成核抑制机制(ANSM)”。当富含巯基的标记蛋白加入上述BSM反应体系中,系统自身会形成不可溶的1:1“之”字型RSAu(I)聚合物,以及标记蛋白的巯基与金离子形成类似1:1 RSAu(I)的聚合物,二者均可同时称为成核中心合成纳米金颗粒,因而会有相当部分是非标记的背景噪声(图1b(1))。但在自成核抑制机制ANSM条件下,系统自身形成的可溶的2:1 RSAu(I)化合物无法成核,只有标记蛋白的巯基与金离子形成类似1:1 RSAu(I)的聚合物称为成核中心形成纳米金颗粒,从而完全避免了非标记自成核金颗粒背景噪声(图1b(2))。
ANSM金颗粒合成化学原理的关键发现,为后续可克隆标记技术在细胞中的实现与优化奠定了坚实的理论基础。

图1.基于遗传编码的可克隆电镜标记技术的开发
a.可克隆电镜标记技术概念图。b.Brust-Schiffrin方法(BSM)合成纳米金颗粒原理,及一价金离子与硫醇的两种结合方式(1:1和2:1模式)。c.经典的BSM合成条件下(1)富半胱氨酸标记蛋白和1:1一价金硫醇盐聚合物均可同时形成金颗粒,何万中研究组发现了一种自成核抑制机制(ANSM)可以在可溶的2:1一价金硫醇盐条件下(2)特异性地在标记蛋白上合成纳米金颗粒(完全抑制非标记自成核金颗粒背景噪声)。d.稳定表达Ost4-GFP-MTn的HeLa细胞的荧光显微像。e.预期Ost4-GFP-MTn蛋白上成功合成纳米金颗粒后在内质网(ER)膜上的定位图。f. 用基于ANSM的可克隆电镜标记技术处理过的HeLa细胞(表达Ost4-GFP-MTn)切片的电镜照片,显示高密度的纳米金颗粒成功定位于朝向细胞质的ER膜上。
何万中研究组利用独立新发现的自成核抑制机制(ANSM),成功的开发了一系列针对纯化的标记蛋白特异性合成2-6纳米大小的金颗粒技术,并证明纳米金颗粒是在单个标记分子上形成的。接下来何万中研究组利用简单的原核细胞(大肠杆菌系统)摸索优化出细胞中的标记蛋白上特异性合成纳米金颗粒的实验方案,获得了前所未有超高标记效率(图2a)。
发现金离子无法大量进入细胞,何万中研究组首先利用液氮冻裂法优化合成条件,然后优化出低温甲醇固定通孔获得优化的超微结构及高效率的金颗粒合成方法,并进一步用化学固定与化学通孔方法进行了方法验证。然后,何万中研究组将细菌体系摸索出来的金颗粒合成优化条件拓展至简单的真核细胞(裂殖酵母)(图2b,c),发现:真核细胞中需要将还原态的未折叠标记蛋白进行保护巯基免受醛类化学固定剂的破坏才能合成纳米金颗粒,探索出氧化保护标记蛋白的巯基方案,并且在化学固定和高压冷冻固定两种方案上探索优化出适合酵母的金颗粒合成方案。
最后,何万中研究组经过不懈的探索,将细菌和酵母中摸索出来的金颗粒合成技术推广至哺乳动物细胞,攻克了在保证细胞超微结构前提下如何在标记蛋白上高效合成纳米金颗粒的难题。
哺乳动物细胞氧化环境下(如ER内腔和线粒体基质)的标记蛋白为折叠状态,酵母的实验方案基本适用。但是哺乳动物细胞中还原环境(如细胞质中)的标记蛋白为未折叠状态,该实验方案标记效率极低且重复率低,经过不断探索,何万中研究组终于研发出了普适性更高更强健的新方案:冷冻替代固定条件下只用鞣酸(tannic acid)与醋酸铀联合低温脱水固定,避免使用巯基氧化剂和醛固定剂,实现保证细胞超微结构下高效合成纳米金颗粒,且不再受标记蛋白折叠状态限制。在HeLa细胞中对ER内腔(图2d),线粒体基质(图2e)及ER膜(朝向细胞质还原环境,图1d-f)三种定位模式的测试,表明:该金颗粒合成方案已经高度成熟有效,重复率极高,可以广泛推广使用。

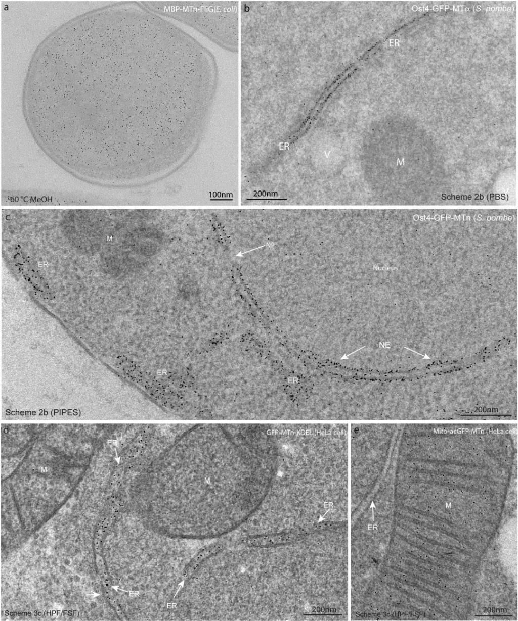
图2.可克隆电镜标记技术在三种模式细胞(细菌,酵母和哺乳动物细胞)中的应用
a.表达MBP-FliG-MTn的大肠杆菌中合成纳米金颗粒。b.表达Ost4-GFP-MTα的酵母细胞中纳米金颗粒特异性定位于内质网膜(ER)上。c.表达Ost4-GFP-MTn的酵母细胞中纳米金颗粒特异性定位于核膜和内质网膜(ER)上。d.稳定表达GFP-MT-KDEL的HeLa细胞中纳米金颗粒特异性定位于内质网(ER)内腔中。e.稳定表达Mito-acGFP-MTn的HeLa细胞中纳米金颗粒特异线粒体(M)基质中。
此外,何万中研究组发明的基于自成核抑制机制在富含半胱氨酸标记蛋白上合成纳米金颗粒技术,合成条件比较温和,接 近生理条件,还可以用来在纯化的标记蛋白上合成纳米金颗粒,可用来开发一系列新型单分子探针,甚至在cryoEM/CryoET/FIB-SEM均有应用潜力。何万中研究组利用大肠杆菌表达纯化的GFP Nanobody (GBP) 与 MT 标记的融合蛋白 GBP-MT, 去免疫标记细胞中表达的GFP标记蛋白, 展示出该技术可以广泛用来标记目前已有GFP标记的各种细胞及动物组织。
相比基于抗体的传统免疫电镜标记技术,何万中研究组发明的此项基于遗传编码的可克隆电镜标记技术是对细胞电镜成像领域单分子识别定位的一项重要革新,应该具有广泛的应用前景。如需了解详细的研究内容,可以查阅//www.nature.com/articles/s41592-020-0911-z.,或浏览在线PDF版本://rdcu.be/b6aXc。

从右至左:何万中,姜招弟,金秀梅,李玉华
我所何万中实验室PTN项目姜招弟博士生、金秀梅和李玉华为本文的共同第一作者,其他作者包括何万中实验室刘思彤、赵沛、蔡新斌、刘颖、汤娅琦、孙晓斌、柳燕、胡艳勇、李明博士,杜立林博士及其实验室的刘晓曼博士、王影影博士生,蛋白质中心陈涉博士及蔡改红,化学中心齐湘兵博士。我所何万中博士为本文通讯作者。该研究由科技部973(2011CB812502、2014CB849902)及北京市政府资助,在北京生命科学研究所完成。